|

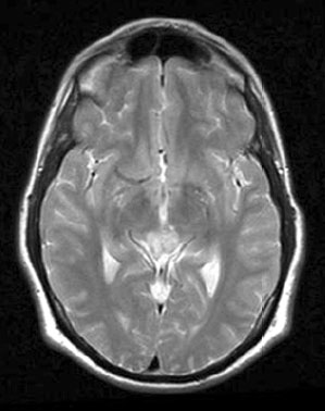
Fig.
5 (March, 2003)
|
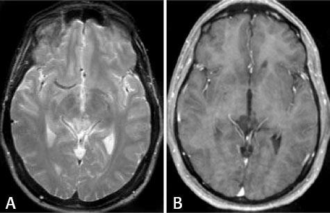
Three months later, a repeat
MR showed the lesion to have decreased significantly. A recent MR exam shows
disappearance of enhancement.
We submit that the pathological process is one similar to Whipple’s as far
as the etiological agent is concerned but not firmly documented, and are
happy to see that the patient has responded to the treatment.
We welcome your comments. |