|
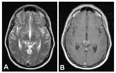
approach, revealing on
pathology a granulomatous infection with PCR compatible with Wipple’s
disease. Figure 4.
Further investigations did not substantiate this diagnosis so that
specific treatment was not initiated. One month later, the lesion had
grown further and forced medical consultants to agree to treatment.
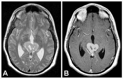
Figure 3 |

Fig. 3 (October, 2002)
(A) T2 (B) T1-Gado |