
| August 21,
2003 |
August 25,
2003 |
October 30,
2003 |
|
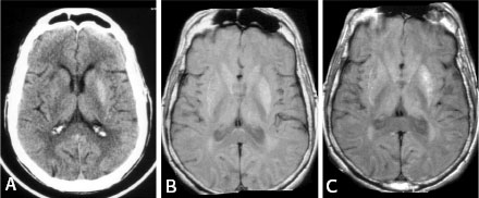
This is a patient 70 years old, male, with previous history
of diabetes mellitus type II, who presented in August 2003 with hemichorea
and hyperglycemia. Final diagnosis was hemichorea induced by non-ketotic
hyperglycemia. Striatal hyperdensity is seen on CT and T1-hyperintensity is
present on MRI.
Dr. Fontaine |
|
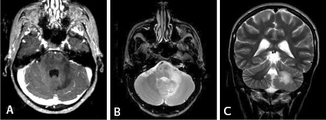
Patient 19 years old, female, with AIDS, and
pathologically proven diagnosis of progressive multifocal
leucoencephalopathy (PML).
Dr. Tampieri
|
 |
|
 |
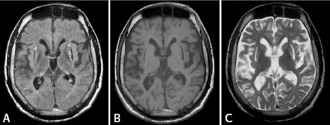
Wilson’s disease showing bilateral putaminal necrosis
and diffuse brain atrophy
Dr. O’Gorman
|
|
 |
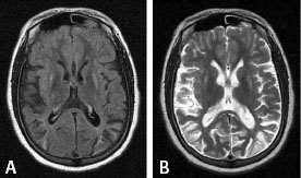
Wilson’s disease showing bilateral
putaminal hyperintensity on T1 and T2,
and multiple cortical ischemic lesions.
Dr. O’Gorman |
|
You can
bring your cases on films or CD’s – R.S.V.P. by calling 398-1908 or
faxing 398-2829.
Also please note that the meeting now starts at 6PM (18hrs) and don’t
forget to sign the attendance sheet. |
|
|
çPrevious |
3 |
Next
è | |